
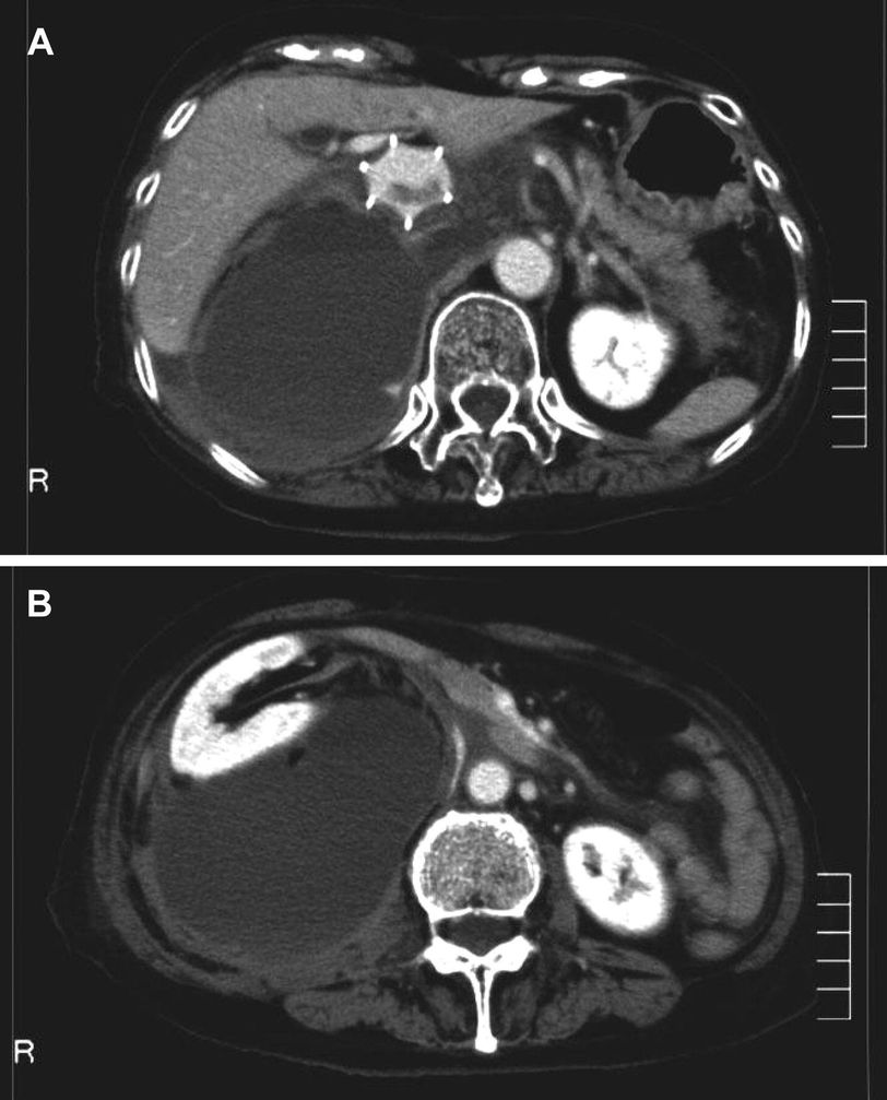
Retroperitoneal hematoma, both traumatic and nontraumatic, usually go unnoticed until the victim starts developing severe signs and symptoms of shock. Retroperitoneal hematoma can be broadly classified into three zones according to the major anatomical structures present in the region; this classification governs and modifies the management options. Zone I: Central Medial Zone It is the area between both the psoas muscles on either side. Structures such as abdominal aorta, inferior vena cava , duodenum and pancreas are present in this zone. Zone II: Perirenal Zone It is the area on either side of lateral borders of psoas muscles. Structures that are present in perirenal zone are kidneys, ureters, and portion of colon. Zone III: Pelvic Zone It is the region inferior to bifurcation of aorta. The structures in this area are external and internal iliac arteries, distal sigmoid colon, rectum, and distal portions of ureters. Preliminary procedure involves stabilization of patient according to ATLS protocol. Once the patient has stabilized, the management varies according to the zone involved. Zone I: Isolated vascular injuries are treated conservatively if no urgent laparotomy is indicated. Hemorrhage control is the key. Bowel damage can be managed by end-to-end anastomosis. Zone II: Conservative management is considered if indicated otherwise. Exploration may be required. Nephrectomy is rare. Vascular reconstruction is considered only in patients with abnormal contralateral kidney function. Zone III: Iliac vessel injuries are associated with high mortality. Intravascular techniques may be used for managing iliac vessels. Multi-disciplinary approach is required for bone fractures. Source: Approach and Management of Traumatic Retroperitoneal Injuries https://www.elsevier.es/en-revista-cirugia-espanola-english-edition--436-articulo-approach-management-traumatic-retroperitoneal-injuries-S2173507718300991 Image via https://www.ahajournals.org/doi/10.1161/CIRCULATIONAHA.107.722496