
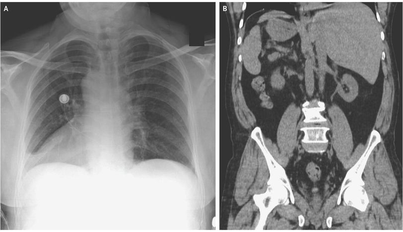
Situs Inversus Totalis is a congenital condition in which the positions of the left and right sided organs are reversed. In such people, the heart beats on the right side! Other organs such as liver and spleen are also present on the other side of the body, as revealed by the image above. This anomaly may be associated with a defect in ciliary function, thus leading to frequent respiratory infections and infertility. The disease is referred to as the Kartagener’s Syndrome. (Image via: https://www.nejm.org/doi/full/10.1056/NEJMicm1811002 )