MEDizzy
MEDizzy
Roymann Santamaria
Roymann Santamariaalmost 8 years ago
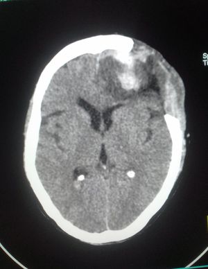
Tomography 👷

Tomography 👷

Diagnostic?

15
Top rated comment
almost 8 years ago

Looks like a tumor corroding the overlying bone. Glioblastoma?

Other commentsSign in to post comments. You don't have an account? Sign up now!
almost 8 years ago

Osteosarcoma of frontal bone invading frontal lobe of brain

Recent MCQs

‌
‌

‌
‌

‌
‌

‌
‌

‌
‌
Show more MCQs

Recent flashcard sets

‌
‌

‌
‌

‌
‌

‌
‌

‌
‌
Show more flashcards