
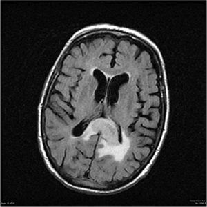
Astrocytes are star-shaped brain cells located between nerve cells. When they start dividing without control, they create a tumor called astrocytoma. These tumors come in different grades – low grade tumors are slow-growing while high-grade tumors can be very aggressive.