
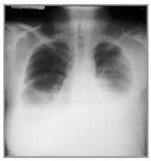
32/M came in 30 minutes post-injury, Shot by unknown assailant PE: BP 100/60 HR 130 RR 20 Neuro exam: GCS 15 Chest: (+)GSW 4th ICS left MCL, 5th ICS r midscapular line decreased breath sounds below lower lungs Distinct heart sounds Abdomen: soft, nontender
Sounds like he’s starting to go into hypovolemic shock, need to increase O2 saturation, restore blood flow putting him on a blood& fluids bag. Looks like there’s also a lot of fluid building up in the chest cavity, finding the source and watching out for clotting would be good.