MEDizzy
MEDizzy
Dr.ASKY
Dr.ASKYabout 5 years ago
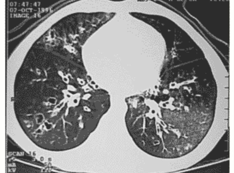
Bronchiolitis obliterans (popcorn lung) 🍿

Bronchiolitis obliterans (popcorn lung) 🍿

🔹Symptoms more than 60 days lead to fibrosis of the airway 🔹Post adenovirus or lung transplant 🔹 Best diagnostic via open lung biopsy or transbronchial biopsy 🔹Can be seen in Chronic rejection post lung transplant

8
Top rated comment
about 5 years ago

Hand in glove appearence

Other commentsSign in to post comments. You don't have an account? Sign up now!

Recent MCQs















Show more MCQs

Recent flashcard sets















Show more flashcards