
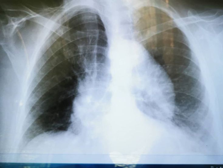
80 year old female patient history of HTN and hyperlipidemia, complains of dry cough since 3 months, night sweats,no weight loss, SOB with effort. This is her CXR, what's your differential diagnosis?
Low KV CXR, heart failure and cardiomyopathy. And aortic aneurysm is ddx.
Low KV CXR, heart failure and cardiomyopathy. And aortic aneurysm is ddx.
cxr findings inconsistent with TB. but we sent AFB smear of sputum.
cxr findings inconsistent with TB. but we sent AFB smear of sputum.