Feed
Library
Learning
Discuss
Leaderboard
Journal
Sign in
Login
Sign up
Sign in
Feed
Library
Learning
Discuss
Leaderboard
Journal
Yash Joshi
over 7 years ago
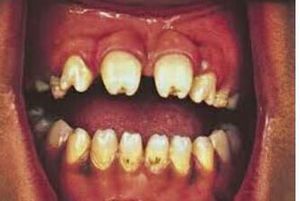
Dx?
Condition
Describe
526
2
1
Top rated comment
Path Chick
over 7 years ago
Congenital syphilis
1
Reply
Yash Joshi
over 7 years ago
Right
1
Other comments
Sign in
to post comments. You don't have an account?
Sign up now!
Related posts
Identify the Condition
Identify the Condition
Identify the condition
Identify the Condition
Identify the Condition
Identify the Condition
Identify the Condition
Identify the Condition
Identify the Condition
Identify the Genetic Condition
Recent MCQs
Show more MCQs
Recent flashcard sets
Show more flashcards
Feed
Learn
Add
Search
Discuss