MEDizzy
MEDizzy
Dipesh
Dipeshover 7 years ago
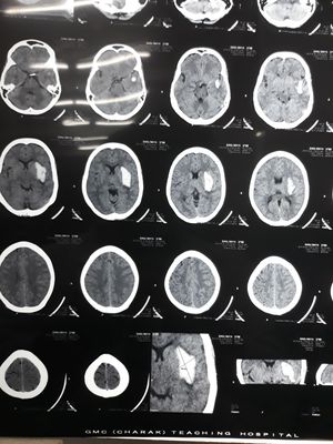
Significance of Siriraj scoring in Stroke? What might be the cause in this presentation?

Significance of Siriraj scoring in Stroke? What might be the cause in this presentation?

20
Other commentsSign in to post comments. You don't have an account? Sign up now!
over 7 years ago

Hemorrhagic stroke

over 7 years ago

Nice but what might be the cause of Hemorrhagic Stroke in this patient

over 7 years ago

AVM?

over 7 years ago

She's 55 yrs Female..It is one of the imp cause..bt not quite in this patient ! Pt is a known case of HTN ..she presnted with Hypertensive Urgency ! Arterial damge due to HTN

over 7 years ago

Hemorrhagic stroke due to damage of middle cerebral artery territory

over 7 years ago

Htn?

over 7 years ago

Quite right bt my question is what cause the damage of artery ?

Recent MCQs

‌
‌

‌
‌

‌
‌

‌
‌

‌
‌
Show more MCQs

Recent flashcard sets

‌
‌

‌
‌

‌
‌

‌
‌

‌
‌
Show more flashcards