MEDizzy
MEDizzy
PA
Paul Atawurahalmost 8 years ago
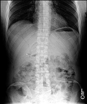
Diagnosis?

Diagnosis?

568
Top rated comment
almost 8 years ago

Pneumobilia, bilioenteric fistula

Other commentsSign in to post comments. You don't have an account? Sign up now!
almost 8 years ago

Intestinal oclusion?

almost 8 years ago

Might be Volvulus..Long shot though! What is presentation of patient?

almost 8 years ago

Amazing

almost 8 years ago

What is the history?

almost 8 years ago

Is it hepatomegaly

almost 8 years ago

Pneumobilia

almost 8 years ago

Sciatica

almost 8 years ago

The air under the left part of the diaphragm coused by ruptured gastric ulcer.

almost 8 years ago

Good observation; that looks like the fundus of the stomach. Normal finding

Recent MCQs















Show more MCQs

Recent flashcard sets















Show more flashcards