MEDizzy
MEDizzy
Dr.FS
Dr.FSover 5 years ago
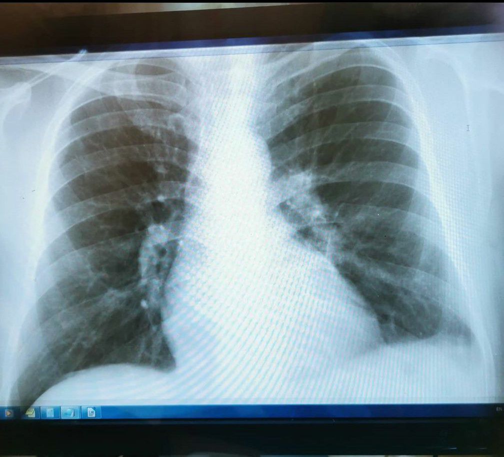
Whats your diagnose ??

Whats your diagnose ??

Patients come with cough, shortness of breath He reported fever but at clinic his temprature was 36.5 °C Normal no elevation of WBC Age - 40 year

13
Other commentsSign in to post comments. You don't have an account? Sign up now!
over 5 years ago

Left plural effusion and calcification of hilar lymph nodes.

over 5 years ago

Cacification

over 5 years ago

No i dont think so

over 5 years ago

İt’s sarcoidoses

over 5 years ago

And also left pleural effusion because CP angle is widened or not sharp

over 5 years ago

Tb

over 5 years ago

Other positive points in history and o2sat?

Recent MCQs















Show more MCQs

Recent flashcard sets















Show more flashcards