MEDizzy
MEDizzy
Kannan Pandiyan
Kannan Pandiyanover 5 years ago
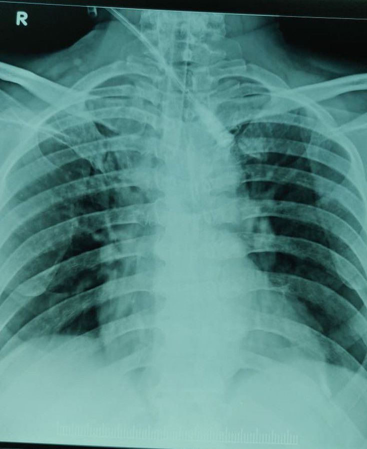
Interpretation 58 yr old male poioson consumption phenthoate along with alprax 0.5mg 10 tablets and metformin 10 tablets,pt treated and stabilised for 24hrs and then saturation falls E.M doctor advised for ventilatory support,but he explained about weekening of chest muscles

Interpretation 58 yr old male poioson consumption phenthoate along with alprax 0.5mg 10 tablets and metformin 10 tablets,pt treated and stabilised for 24hrs and then saturation falls E.M doctor advised for ventilatory support,but he explained about weekening of chest muscles

529
Top rated comment
over 5 years ago

Phentolate is an insecticide used widely for agri farming 100 ml bottle consumed all of it

Other commentsSign in to post comments. You don't have an account? Sign up now!

Recent MCQs















Show more MCQs

Recent flashcard sets















Show more flashcards