MEDizzy
MEDizzy
Dr. Sunil
Dr. Sunil over 7 years ago
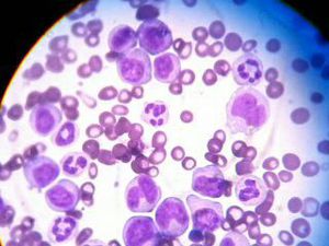
Leukaemia

Leukaemia

Dx

23
Top rated comment
over 7 years ago

CML? Hupersegmentation of neutrophil....myeloblast cell .metamyelocytes..band celll..are visible

Other commentsSign in to post comments. You don't have an account? Sign up now!
over 7 years ago

Cml?

over 7 years ago

CML!

Recent MCQs















Show more MCQs

Recent flashcard sets















Show more flashcards