
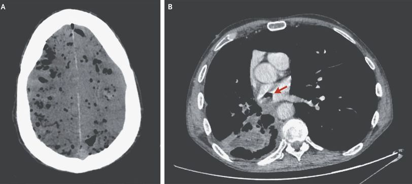
A 61-year-old man with a history of stage IIIB squamous-cell carcinoma of the lung began to have seizurelike activity while he was undergoing restaging computed tomography (CT) in the hospital. He had a known primary cavitary lesion in the right lower lobe and had previously received three cycles of carboplatin and nanoparticle albumin-bound paclitaxel (Abraxane). He was transported to the emergency department. Sudden respiratory failure and confusion developed, which resulted in emergency intubation. CT of the head revealed diffuse pneumocephalus (Panel A). The restaging CT scan of the chest showed that the previously identified cavitary lesion had formed a fistula between a bronchus in the right lower lobe and the left atrium (Panel B, arrow). The pneumocephalus was thought to have been due to an air embolism that had originated from the bronchoatrial fistula. The patient later died in the intensive care unit.