Feed
Library
Learning
Discuss
Leaderboard
Journal
Sign in
Login
Sign up
Sign in
Feed
Library
Learning
Discuss
Leaderboard
Journal
Dr. Aisha Karimova
almost 6 years ago
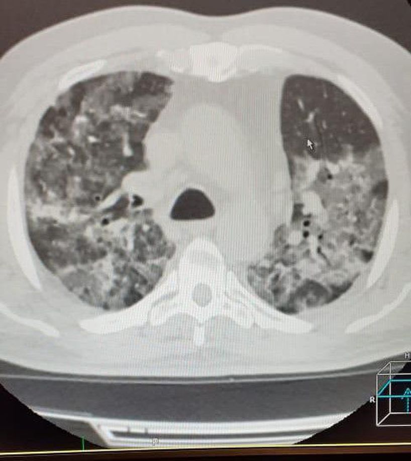
COVID-19
Diseases
Lung
Virus
Coronavirus
Infections
show 9 more
6
2
0
Other comments
Sign in
to post comments. You don't have an account?
Sign up now!
Pegasus MD
almost 6 years ago
Buzlu cam..
1
Reply
Dr. Aisha Karimova
almost 6 years ago
Evet
1
Reply
Related posts
Basal Ganglia Diseases
Pneumonia
Hepatitis virus
Symptoms of chronic liver disease
Symptoms of pneumonia
Odontogenic infections
Oral candidiasis
Autoimmune diseases
Collapse of the left upper lobe of lung
Recent MCQs
Show more MCQs
Recent flashcard sets
Show more flashcards
Feed
Learn
Add
Search
Discuss