
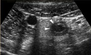
Acute appendicitis is one of the most common surgical pictures. In this image a perforated appendage is observed. Pointed with white arrows you can see how the wall of the appendix is irregular. A sign of appendicular perforation. You can read more of Acpendicits Acuda here: https://cerebromedico.com/cirugia/apendicitis-aguda