Feed
Library
Learning
Discuss
Leaderboard
Journal
Sign in
Login
Sign up
Sign in
Feed
Library
Learning
Discuss
Leaderboard
Journal
Dr.Major Panjeta
over 5 years ago
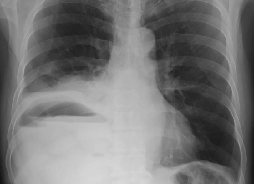
Diagnosis???
Mbbs
Radiology
Majorpanjeta
2
3
2
Other comments
Sign in
to post comments. You don't have an account?
Sign up now!
Murad
over 5 years ago
Empiema of right pleural cavity
0
Reply
TB
Tejas Bhardwaj
over 5 years ago
Pleural effusion
0
Reply
D
Dr.Shyam
over 5 years ago
Rt.sided empyema
0
Reply
Related posts
How to Read MRI I
How to Read MRI II
+𝟏-|𝟖𝟒𝟒_𝟒𝟒𝟖_::𝟎𝟗𝟐𝟖 Quick Ways to Contact Southwest Airlines Phone Number?
ZELLWEGER SYNDROME
LumiLean Dragons Den UK |Capsules, Reviews & Cost!
Basic Brainstem Radiology
Spine Radiology I
Spine Radiology II
Preparation for USMLE
Recent MCQs
Show more MCQs
Recent flashcard sets
Show more flashcards
Feed
Learn
Add
Search
Discuss