
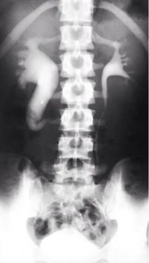
rt kidney hdn may be due to obstruction of ureter with a stone inside and back pressure changes are seen
This is HDN and you are right it is due to urter obstruction but NOT DUE TO STONE but due to IVC(ivp shows fish hook or reverse J sign)a congenital condition known as RETROCAVAL URETER in which rt. Side ureter goes from post. Side of IVC and get compressed leading to HDN and HDU. Treatment :- ureteric relocation ......& Complication :- Angulation of ureter