
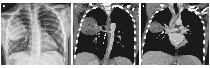
A 9-year-old boy with a history of a lung lesion suspected to be a pulmonary sequestration or a congenital cystic adenomatoid malformation presented to the emergency department with fever and chest pain. A chest radiograph (Panel A) showed a large opacity in the right lung, abutting the minor fissure and displacing it downward. Computed tomography of the chest revealed a large heterogeneous mass with scattered areas of low attenuation, suggesting mucous impaction, and a single large systemic artery (Panel B, arrow) providing vascular supply from the descending aorta. No air bronchograms were evident within the mass. A vein arising from the posterior portion of the mass drained into the right superior pulmonary vein (Panel C, arrow). The patient underwent a right upper lobectomy. Pulmonary sequestration is a congenital disorder characterized by anomalous lung tissue that lacks normal communication with the tracheobronchial tree, which increases the likelihood of infection. The patient recovered without complications and since the operation has had no further pulmonary problems.