Feed
Library
Learning
Discuss
Leaderboard
Journal
Sign in
Login
Sign up
Sign in
Feed
Library
Learning
Discuss
Leaderboard
Journal
Murad
almost 6 years ago
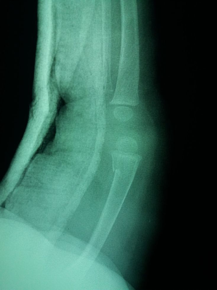
What do you see?
Trauma
Xray
Fracture
Child
Femoral
20
2
7
Top rated comment
K
Krishnanand
almost 6 years ago
Greenstick fracture?
1
Reply
Other comments
Sign in
to post comments. You don't have an account?
Sign up now!
Related posts
Fracture of maxillary tuberosity
Avulsion
Types of Dental Trauma
Naso Orbital Ethmoid fracture
Plating of mandible fracture
Intraoral incision with percutaneous cannula
Surgical Wiring for Mandible Fracture Stabilization
Chest X-Rays
Traumatic exposure of pulp
Traumatic ulcer
Recent MCQs
Show more MCQs
Recent flashcard sets
Show more flashcards
Feed
Learn
Add
Search
Discuss