
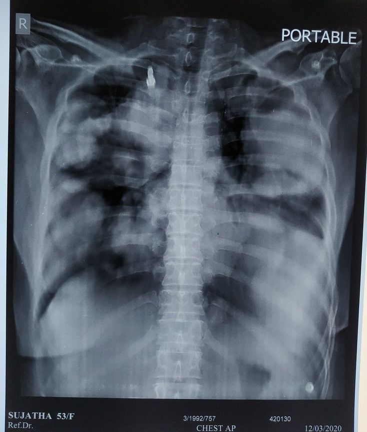
A 53 yr old female pt , k/c/o CA breast with lung metastasis detected 2 yrs back ,now presented with generelised weakness and decreased appetite for 2 days. h/o chest discomfort . No h/o fever, vomiting.No h/o DM,HTN .Her chest x-ray is mentioned above. Point out your findings and if possible pls suggest treatment plan .
Maybe pericardial effusion. All the lung field is consolidations due to metastasis.
Yeah . My professor told me that it is cannon ball appearance in the lung fields...
What was the reason of chest discomfort? Does she have tenderness?