MEDizzy
MEDizzy
Murad
Muradalmost 6 years ago
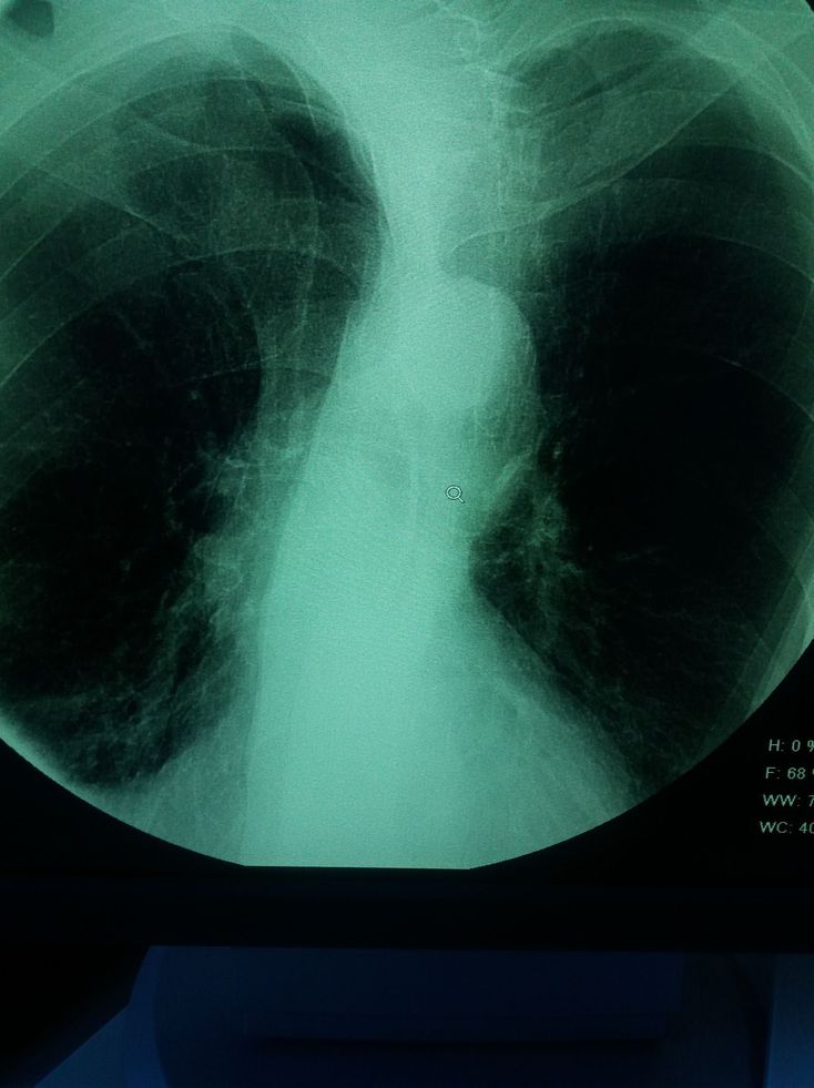
What do you see

What do you see

6
Other commentsSign in to post comments. You don't have an account? Sign up now!
almost 6 years ago

Some sort of x-thorax, the rest is a mystery to be honest.

almost 6 years ago

Tuberculos right lung apex!

almost 6 years ago

Ah, ok, thanks!

Recent MCQs















Show more MCQs

Recent flashcard sets















Show more flashcards