Feed
Library
Learning
Discuss
Leaderboard
Journal
Sign in
Login
Sign up
Sign in
Feed
Library
Learning
Discuss
Leaderboard
Journal
Nuclear Medicine
about 1 year ago
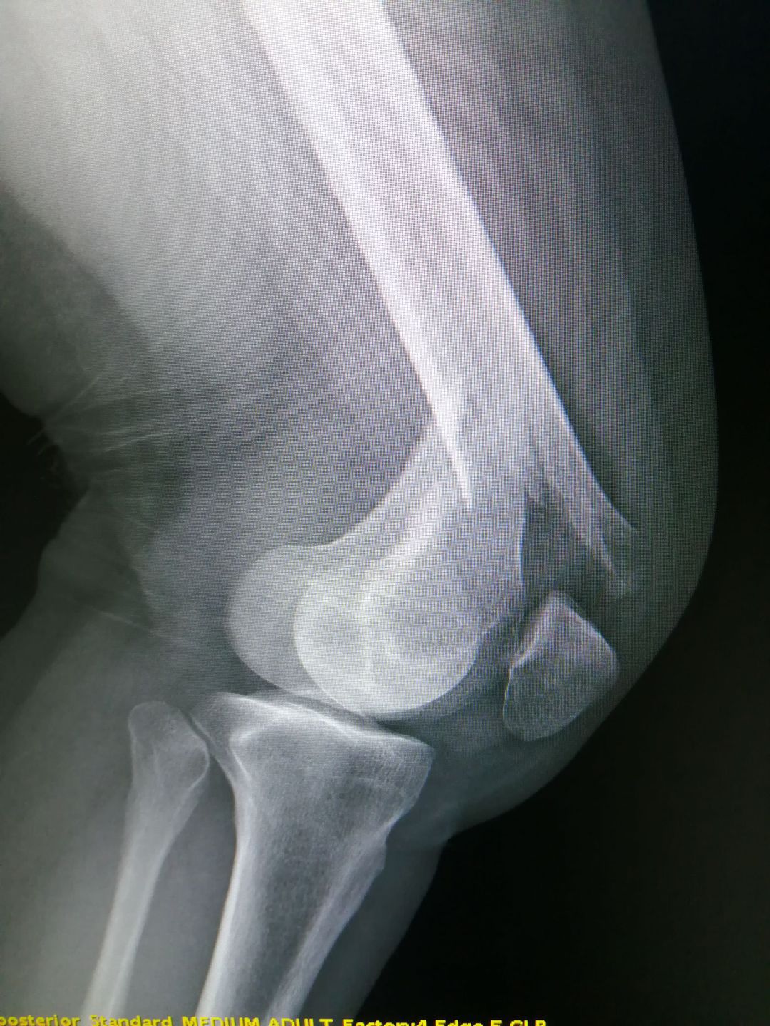
Distal femoral fractures
Left knee lateral view
Trauma
Xray
Knee
Femur
294
0
5
Other comments
Sign in
to post comments. You don't have an account?
Sign up now!
Related posts
Subluxation
Extrusive Luxation
Intrusive Luxation
Avulsion
Types of Dental Trauma
Chest X-Rays
Traumatic exposure of pulp
Traumatic ulcer
Recent MCQs
Show more MCQs
Recent flashcard sets
Show more flashcards
Feed
Learn
Add
Search
Discuss