MEDizzy
MEDizzy
Dr. Fatemeh Kourkinejad
Dr. Fatemeh Kourkinejadalmost 6 years ago
What is your diagnosis?

What is your diagnosis?

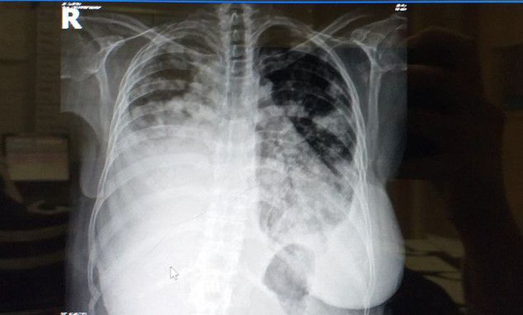
68 year old woman with dyspnea.

11
Top rated comment
almost 6 years ago

Lung metastasis from breast cancer🤔

almost 6 years ago

Well done

almost 6 years ago

Well done

Other commentsSign in to post comments. You don't have an account? Sign up now!
almost 6 years ago

Alveolar pulmonary edema

almost 6 years ago

Good, its plural effusion due to lung cancer

almost 6 years ago

Rt sided pleural effusion With patchy pneumonia

almost 6 years ago

Good DDX, pleural effusion due to lung cancer

Recent MCQs

‌
‌

‌
‌

‌
‌

‌
‌

‌
‌
Show more MCQs

Recent flashcard sets

‌
‌

‌
‌

‌
‌

‌
‌

‌
‌
Show more flashcards