Feed
Library
Learning
Discuss
Leaderboard
Journal
Sign in
Login
Sign up
Sign in
Feed
Library
Learning
Discuss
Leaderboard
Journal
Physio MG Zor
almost 6 years ago
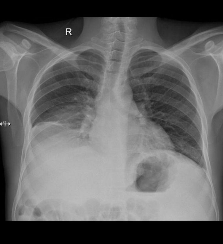
Diagnosis?
Chestxray
Xrays
Xraystudy
2
0
1
Top rated comment
Dr. Fatemeh Kourkinejad
almost 6 years ago
LVH + Right Plural effusion
1
Reply
Other comments
Sign in
to post comments. You don't have an account?
Sign up now!
Related posts
Lung hematoma due to chest trauma
Bitewing radiograph
Pigg-O-Stat- Immobilization device
Use of Pigg-O-Stat- Immobilization device
Congintal diaphragmatic hernia tips
Diagnose it!
Transverse Process
Chest X-ray
Chest X-ray Review
Normal Chest X-ray
Recent MCQs
Show more MCQs
Recent flashcard sets
Show more flashcards
Feed
Learn
Add
Search
Discuss