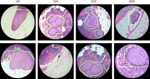
AI algorithms spot cancer cells in tissue images and the scope then outlines those cells in the image seen by the viewer.