
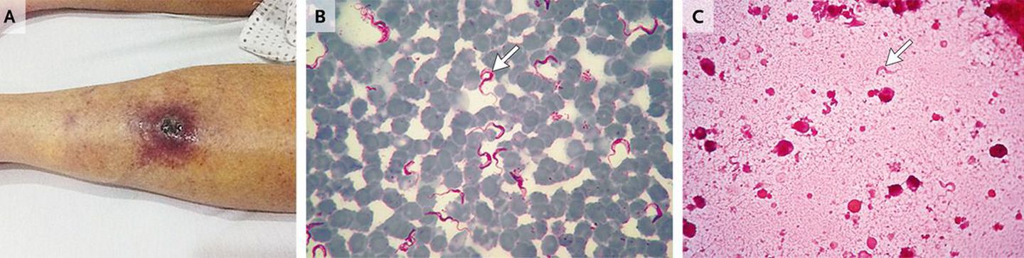
A 65-year-old man was admitted to the hospital with a 4-day history of fever, asthenia, myalgia, and arthralgia. The physical examination revealed two violaceous lesions measuring 3 cm in diameter with shallow ulceration in the lower portions of both legs (Panel A). He reported having been bitten by a tsetse fly during an annual hunting trip in Zambia and had returned to Argentina 10 days before his admission. Microscopical examination of blood (Panel B, arrow) and fluid from one of the lesions (Panel C, arrow) revealed Trypanosoma brucei rhodesiense (T.b. rhodesiense), which causes human African trypanosomiasis (also called sleeping sickness). Tanzania, Malawi, Zambia, and Zimbabwe are typical countries of origin for cases of T.b. rhodesiense human African trypanosomiasis, which may be an acute, life-threatening disease characterized by fever (103 to 105°F [39.4 to 40.6°C]), parasitemia, and chancre. Because of difficulties in obtaining suramin, we initially administered pentamidine and switched to suramin 48 hours later. Subsequently, the patient's condition worsened, and he was admitted to the intensive care unit with the acute respiratory distress syndrome, along with hepatic and renal failure. Mechanical ventilation and hemodialysis were initiated. Disseminated intravascular coagulation developed, and the patient died 3 days later from ventricular arrhythmia.
I was diagnosed as a Hepatitis B carrier in 2015, with early signs of liver fibrosis. At first, antiviral medications helped control the virus but over time, resistance developed, and the effectiveness faded. I began to lose hope. In 2021, I discovered NaturePath Herbal Clinic despite my skepticism, I decided to give their herbal treatment a try.To my surprise, after just six months, my blood tests came back negative for the virus.It was nothing short of life-changing.I never expected such incredible results from a natural treatment. But it not only cleared the virus it restored my hope, my health, and my peace of mind.If you or someone you know is battling Hepatitis B, I truly encourage you to explore the natural healing path offered by NaturePath Herbal Clinic. It gave me a second chance and it might do the same for you.www.naturepathherbalclinic.com info@naturepathherbalclinic.com