MEDizzy
MEDizzy
Murad
Murad6 months ago
What do you think

What do you think

What do you think

22
Top rated comment
almost 6 years ago

Derrame paranumonico

Other commentsSign in to post comments. You don't have an account? Sign up now!
almost 6 years ago

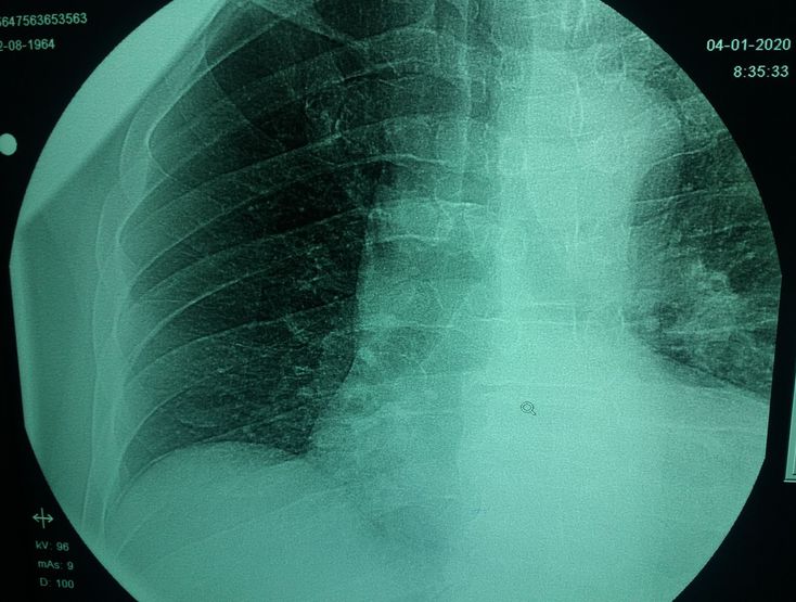
Boot shaped heart =tetralogy of fallot

almost 6 years ago

Boot shaped heart: characteristics of tetralogy of fallot.

Recent MCQs















Show more MCQs

Recent flashcard sets















Show more flashcards