
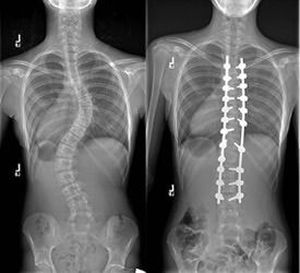
Scoliosis is the abnormal lateral or sideward curve to the spine. It is common in children, and it may be caused by congenital malformation, poliomyelitis, limbs of unequal length, among other factors. Early treatment involving surgery, casts, exercises, and braces may prevent progression of the curvature.
This looks like my back X-Rays! My curvature is just enough to avoid surgery and shouldn’t progress anymore, as my growth plates are far closed. Plus, I still have no pain! Glad to see such positive results!