
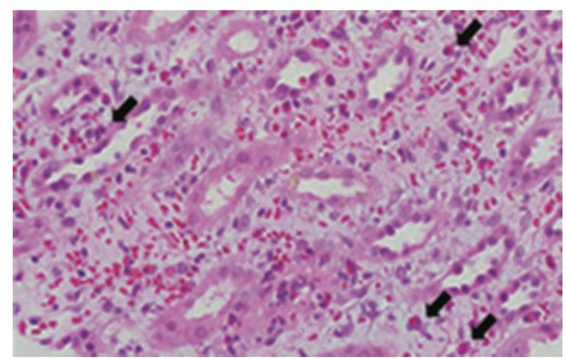
Renal A 70-year-old woman presents to her physician complaining of a 3-day history of nausea and malaise. She states that she is essentially in good health, although she recently started taking omeprazole for her gastroesophageal reflux disease. The patient denies use of any other medications. Her physical examination reveals a temperature of 38.5°C (101.4°F), but it is otherwise unremarkable. Laboratory blood testing demonstrates eosinophilia and elevated serum creatinine. Urinalysis shows mild proteinuria. Urine microscopy is pending. What is your impression?