
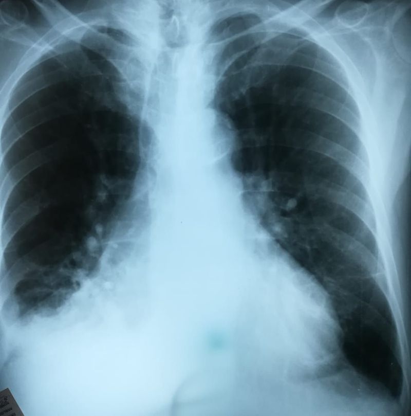
67 Year old male patient, came to the clinic complaining of shortness of breath, orthopnea since 4 days ago, he denies any fever, weight loss or night sweats. his CXR shows obliteration of the right costophrenic angle due to pulmonary effusion. multiple nodules are noted as well. whats your differential diagnosis?