MEDizzy
MEDizzy
M
Marakiover 7 years ago
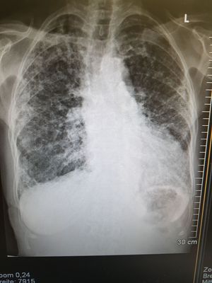
X-ray of 86 year old woman

X-ray of 86 year old woman

Fibrosis pulmonar and cardiomegalia (sorry for the quality)

541
Top rated comment
over 7 years ago

Is this patient suffering from TB ???

over 7 years ago

No, according to doctors she suffers from fibrosis

Other commentsSign in to post comments. You don't have an account? Sign up now!

Recent MCQs















Show more MCQs

Recent flashcard sets















Show more flashcards