MEDizzy
MEDizzy
Lina Alshaheen
Lina Alshaheenalmost 6 years ago
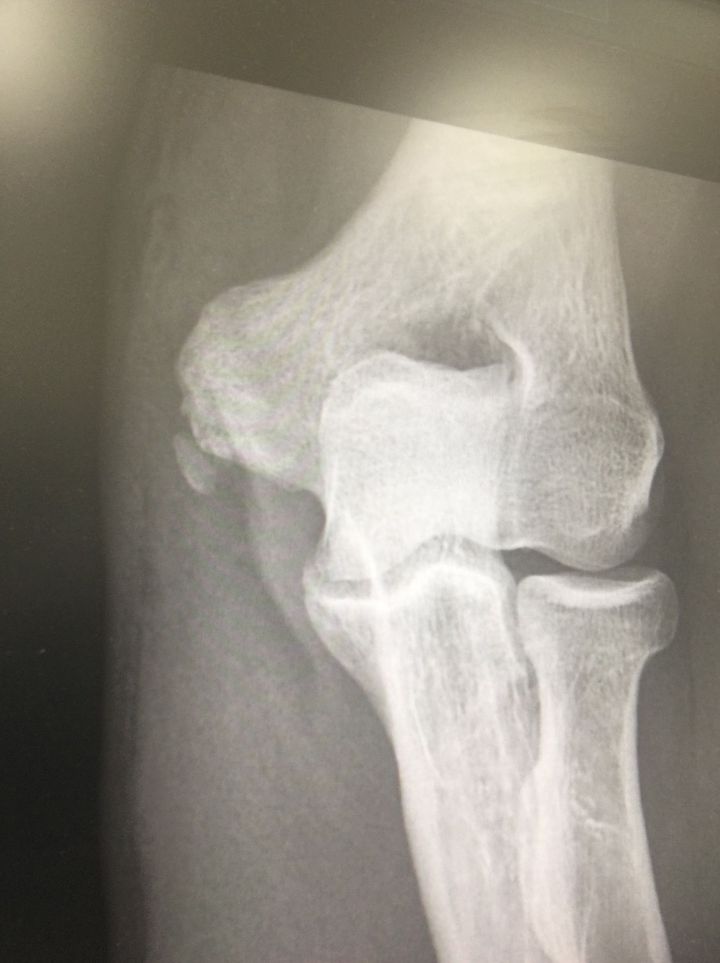
What is diagnosis?!??

What is diagnosis?!??

#pain in elbow region and the patient age 44y

26
Top rated comment
almost 6 years ago

Communtive # medial epicondyl?

Other commentsSign in to post comments. You don't have an account? Sign up now!
almost 6 years ago

Bone spur?

almost 6 years ago

lateral epicondylitis (tennis elbow)?

Recent MCQs















Show more MCQs

Recent flashcard sets















Show more flashcards