
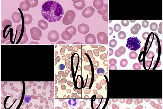
a)EOSINOPHIL(15%) bilobed nucleus (spectacle shaped) Cytoplasm has Coarse brick red/orange granules Defend body from allergic reactions and parasitic infections b)SMALL and LARGE LYMPHOCYTES( 25%) Small lymphocytes ‐Same size or slightly bigger than red cells nucleus occupies almost whole cell and is deep violet in colour Cytoplasm may be present as a thin rim to one side at periphery Large lymphocytes -same size or slightly larger than neutrophils Nucleus large occupies 90% of cell c)MONOCYTE(5%) Occupy 50% of cell Largest leukocyte Nucleus is kidney shaped d)BASOPHIL(0%) Rarest leukocytes Nucleus-bilobed /trilobed but lobes are not distinctly visible Cytoplasm has many coarse granules which are blue black e)NEUTROPHIL(55%) Multilobed nucleus May be present as Segmented or band form Cytoplasm-Fine pink granules Note:in dlc basophil count is taken as 0%actually( 0‐1%) But it doesn't mean there are no basophils in blood These values are taken for convenience in dlc Many students confuse large lymphocytes with monocytes ; large lymphocytes have nucleus with homogeneous appearance (compact appearance)and cytoplasm is clear But in case of monocytes nucleus has a non homogeneous appearance(spongy appearance) and cytoplasm is turbid or hazy MAJORITY OF CIRCULATING LYMPHOCYTES ARE SMALL (80%) ONLY 20% ARE LARGE BOTH SMALL AND LARGE LYMPHOCYTES CONSISTS OF B- CELLS AND T -CELLS