Feed
Library
Learning
Discuss
Leaderboard
Journal
Sign in
Login
Sign up
Sign in
Feed
Library
Learning
Discuss
Leaderboard
Journal
S
Samir
almost 6 years ago
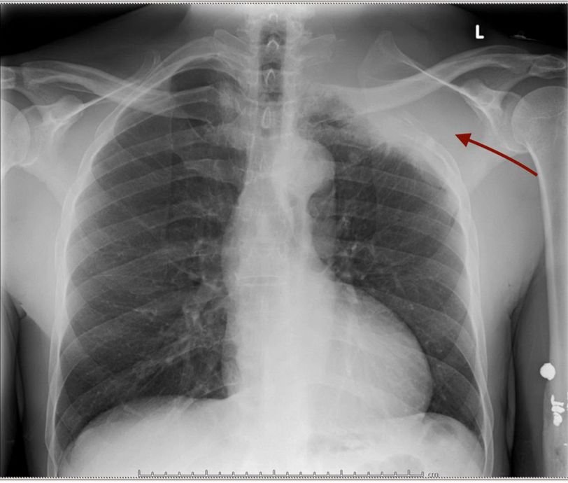
Diagnosis?
555
1
1
Top rated comment
Nirmit Parikh
almost 6 years ago
Winging of scapula due to paralysis of serratus anterior
0
Reply
Other comments
Sign in
to post comments. You don't have an account?
Sign up now!
Related posts
No related posts found
Recent MCQs
Show more MCQs
Recent flashcard sets
Show more flashcards
Feed
Learn
Add
Search
Discuss