
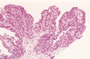
A 65-year-old man recently retired after many years in a job that involved exposure to aniline dyes, including β-naphthylamine. One month ago, he had an episode of hematuria that was not accompanied by abdominal pain. On physical examination, there are no abnormal findings. Urinalysis shows 4+ hematuria, and no ketones, glucose, or protein. Microscopic examination of the urine shows RBCs that are too numerous to count, 5 to 10 WBCs per high-power field, and no crystals or casts. The result of a urine culture is negative. Cystoscopy is performed, and biopsy of a lesion reveals the microscopic appearance in the figure. Which of the following neoplasms is he most likely to have? A. Adenocarcinoma B. Rhabdomyosarcoma C. Renal cell carcinoma D. Squamous cell carcinoma E. Urothelial carcinoma . #usmle #usmlestep1 #bladdercancer . . Exposure to arylamines markedly increases the risk of urothelial carcinoma shown the in figure, which can occur decades after the initial exposure. After absorption, aromatic amines are hydroxylated into an active form, which is detoxified by conjugation with glucuronic acid and then excreted. Urinary glucuronidase splits the nontoxic conjugated form into the active carcinogenic form. Adenocarcinoma is a complication of the congenital condition known as exstrophy of the bladder. Rhabdomyosarcoma of the pelvis is typically a pediatric neoplasm, and not associated with chemical exposures. Renal cell carcinomas also may manifest as painless hematuria, but exposure to aniline dyes is not a risk factor. Squamous cell carcinoma is the most common malignancy of the urethra, but it is rare and has no relation to carcinogens. Urinary bladder tumor Low-grade cancers: Usually papillary and not usually invasive. Clinical findings: Painless gross/microscopic hematuria. Dysuria, increased frequency of urination.