
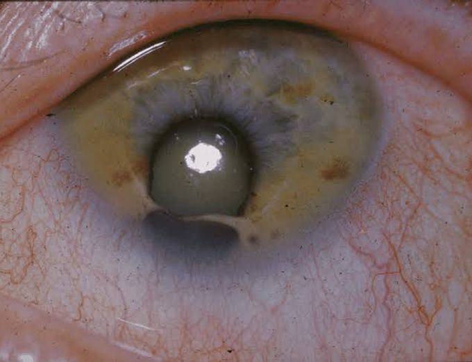
Cat eye syndrome (CES) is a rare congenital chromosomal disorder affecting the chromosome 22q11. The classic Triad of the cat eye syndrome includes : ocular coloboma anal atresia / stenosis preauricular skin tags or pits - it's the Mc feature Note : Iris coloboma may give the iris an unusual “keyhole” appearance. There can also be other system defects - Heart defects - TAPVC or Tetralogy of fallot are more common Renal defects - unilateral or bilateral renal hypoplasia, unilateral agenesis, supranumarary kidney or hydronephrosis Skeletal defects- scoliosis, short stature Abdominal defects - Umbilical hernia, Hirschsprung disease