
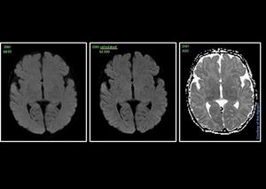
MRI Neuro Imaging – feed & wrap neonatal @ Siemens 1.5T AvantoFit Utilising the Pediatic 16ch coil in the combination with quiet sequences give results. I’m just surprised a feed & wrap baby can lie so still during a DWI sequences. Quiet DWI is not 100% quiet, but of course less noise compared to a standard DWI. This sequences is available on E11C software – qDWI.#s_mri #siemens #mri #quiet_suite