
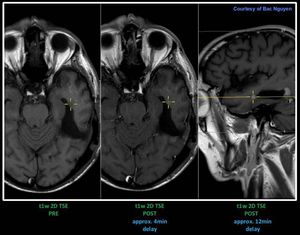
MRI Neuro Imaging – Post GD Take a closer look at the lesion post contrast transversal, approx. 4min delay compared to the post contrast sagittal. Stronger enhancement at the sagittal due to longer waiting time. Just wanted to highlight that waiting time do count, but how long should we wait is another question. #s_mri #siemens #mri #neuro #gadolinium