
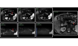
MR Abdominal Imaging – conventional Single Shot EPI (SS-EPI) vs. ZOOMit @ Prisma 3T ZOOMit SS-EPI gives you the possibility to reduced FOV with minimal blurring and higher spatial resolution compared to conventional SS-EPI. Pancreas lesion (red arrow).#s_mri #siemens #mri #zoomit #dwi