MEDizzy
MEDizzy
s
s_magneticworldalmost 8 years ago
MEDizzy

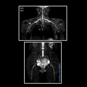
MRI Nerve Imaging – Single Shot EPI DWI @ Siemens 1.5T Aera DWI for visualizing nerves.#s_mri #siemens #mri #dwi

0
Other commentsSign in to post comments. You don't have an account? Sign up now!

Recent MCQs















Show more MCQs

Recent flashcard sets















Show more flashcards