
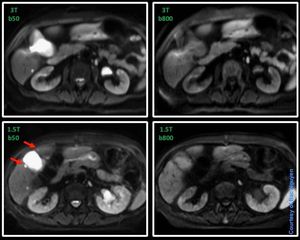
MR Liver Imaging – DWI 3T vs. 1.5T @ Siemens Skyra and Aera This is just an example between 3T and 1.5T. DWI on 3T can be more challenging compared to 1.5T due to susceptibility artifact. Take a closer look at the area of the gallbladder, the two cysts (red arrow) are not visible on 3T due to distortion. Nevertheless, a highly optimised DWI on 3T can give great results. Same patient, just different exam time.#s_mri #siemens #mri #liver_imaging #dwi