
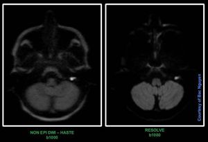
Cholesteatoma – RESOLVE vs non EPI HASTE DWI @ Siemens 1.5T Aera Can RESOLVE technique replace non EPI HASTE DWI for cases like cholesteatoma? A very good paper highlighting this question. Absolutely worth reading. https://www.ncbi.nlm.nih.gov/pmc/articles/PMC5441457/pdf/WJR-9-217.pdf#s_mri #siemens #mri #cholesteatoma