
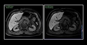
MRI Liver Imaging with Primovist – Hepatobiliary phase @ Siemens 1.5T Aera Hepatobiliary phase on a normal function liver would be at approx. 20min-120min. You have good time to acquire that phase with great optimized sequences. This patient was not a good breath holder, was tired at the end of the exam. So modifying this t1w VIBE Dixon to a free breathing approach, gave the results as seen. The scan time of this breath hold vibe was around 15sec, and the free breathing was 1min and 30sec. Nevertheless, longer scan time on the free breather, but the results speaks for itself.#Siemens_MRI #siemens #mri #abdominal_liver #primovist #bayer #gadolinium