
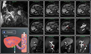
MR Abdominal Imaging – The Art of Primovist/Eovist beyond focal liver lesions characterisation @ Siemens 1.5T Aera Besides focal liver lesions characterisation, you can use Primovist for answering the question regarding bile duct leakage. How is this possible? After injection of Primovist, approximately 50% of the administered dose in the normal human liver is transported through the hepatocytes and excreted into the bile. If there is a leakage, this contrast agent can provide that information. In this case, there is a leakage (red arrow).#Siemens_MRI #siemens #mri #primovist #bile_duct_leakage