
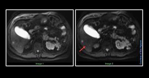
Liver Diffusion Weighed Imaging – Optimalization @ Siemens Nowadays, DWI is widely used outside the brain. It’s a powerful diagnostic tool. When it comes to liver imaging, its usefulness would be detection. Why not characterization? Due to focal liver lesions, the ADC values varies both from benign and malign, this means some lesions which is benign could have low ADC, and vice versa. In the combination of t1w and t2w, DWI and contrast agent (hepatobiliary gadolinium) most liver lesions can be adequately diagnosed. I want to highlight a parameter which can improve the liver detection with DWI. Differences between image 1 and image 2 are only one parameter change. Look closely at the liver parenchyma, image 2 has a darker liver parenchyma which can be more helpful to distinguish between liver and lesions. I will reveal this later, so people get the chance to run their mind :) #Siemens_MRI #siemens #mri #liver_imaging #dwi #optimising