
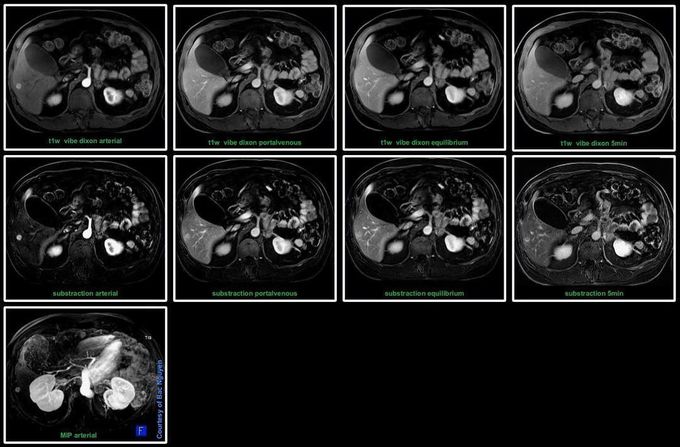
MRI Liver Imaging – Dynamic phase @ Siemens 3T Prisma Dynamic phase is a vital part of the liver imaging protocol due to its greater diagnostic accuracy. Given the distinctive liver physiology and its dual blood supply, dynamic enhancement patterns for a particular disease on the different phases of liver enhancement can narrow the differential diagnosis. Case; Metastasis utilizing extracellular contrast agent.#Siemens_MRI #siemens #mri #gadolinium #liver_imaging