
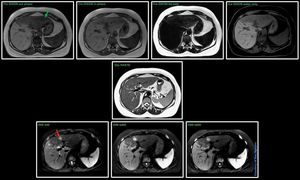
Is DWI needed for focal liver lesions imaging? @ Siemens 1.5T Aera The answer would be YES, always. Its powerful properties are insanely good for detect liver lesions. This is a fatty liver (green arrow), inside that fatty area there is also a lesion. with t1 dixon (in, out, fat and water) and t2w HASTE, extremely difficult to spot it. Then take a closer look at the DWI images (red arrow), easily seen in the eyes of a radiologist#Siemens_MRI #siemens #mri #fattyliver #dwi