MEDizzy
MEDizzy
s
s_magneticworldalmost 8 years ago
MEDizzy

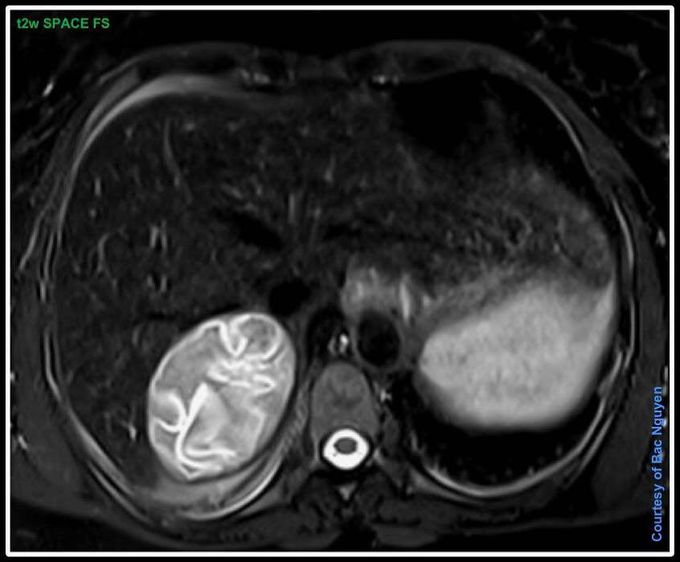
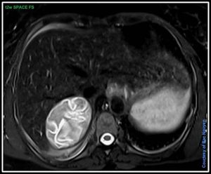
Tapeworm (Echinococcosis Hydatid Cyst) @ Siemens 1.5T Aera I wonder how this would have look like with a dynamic truefisp……..#Siemens_MRI#siemens #mri #tapeworm

0
Other commentsSign in to post comments. You don't have an account? Sign up now!

Recent MCQs















Show more MCQs

Recent flashcard sets















Show more flashcards