MEDizzy
MEDizzy
s
s_magneticworldalmost 8 years ago
MEDizzy

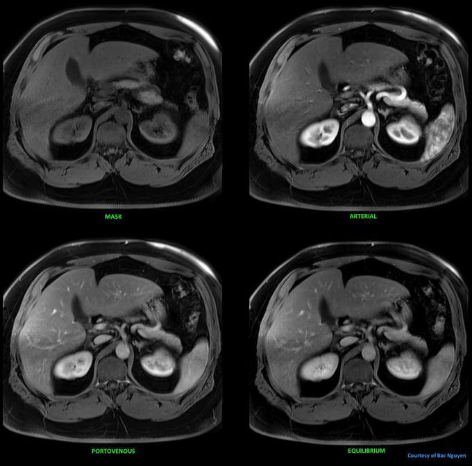
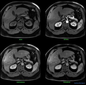
Abdominal imaging dynamic phase @ Siemens 1.5T Aera. This is a 70 bore, even a robust Dixon have problem saturation the fat of this 150kg patient. Imagine what fatsat or spair would suffer of. #Siemens_MRI #mri #siemens #gadolinium #abdominal_liver

0
Other commentsSign in to post comments. You don't have an account? Sign up now!

Recent MCQs















Show more MCQs

Recent flashcard sets















Show more flashcards